In primo piano
Ultime novità
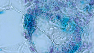
Dalla luce una nuova tecnica per studiare le cellule senza alterarle
Permetterà di comprendere meglio processi biologici alla base di molte malattie
Prime prove generali del lancio di Artemis 2 verso la Luna
Con i 4 astronauti a bordo, il test era slittato di circa un mese
CO2 trasformata in sostanze utili grazie a una catena di enzimi artificiali
Effettuano reazioni che non esistono in natura, per materiali e combustibili green
Il più antico caso di incesto avvenuto oltre 3.500 anni fa in Calabria
Le prove nel Dna estratto da ossa e denti trovati in una grotta dell'Età del Bronzo
Visti gli elementi finora mancanti delle esplosioni stellari
Osservati a raggi X cloro e potassio nella supernova Cassiopea A
Oltre 140mila ripiegamenti nella mappa 4D del Dna umano dentro le cellule
È fondamentale per capire il legame con la regolazione dei geni
Immortalato un nuovo anello di luce rossa sull'Italia centrale
Scatenato da un potente fulmine sull'Adriatico
Persi i contatti con la sonda Maven, in orbita intorno a Marte
Dopo 11 anni, ha permesso di capire la perdita degli oceani
Con 1,5 gradi in più, nel 2100 sopravvivrà solo il 12% dei ghiacciai delle Alpi
Il 3% se le temperature aumenteranno di 2,7 gradi
Il 21 dicembre è iniziato ufficialmente l'inverno, era il solstizio
Il fenomeno è legato all'inclinazione dell'asse di rotazione della Terra
Il rover Perseverance pronto a esplorare Marte almeno fino al 2031
Lascerà il cratere Jezero per dirigersi verso un'area chiamata Lac de Charmes
L'intelligenza artificiale apre la strada ai primi video in 3D dei buchi neri
Con algoritmi utili anche in medicina e per lo studio del clima
L'uccello del paradiso ispira il tessuto più nero al mondo
Assorbe il 99,87% della luce, per applicazioni hitech e abiti
Identificato potenziale bersaglio terapeutico per tumore del colon-retto
Studio coordinato da ricercatori Università di Padova
Lotta all'Alzheimer, le connessioni cerebrali aprono nuova via
Sono la chiave per misurare l'efficacia dei farmaci
La Corrente del Golfo nella prima immagine della nuova sentinella europea dei mari
E' il satellite Sentinel-6B, in fase di rodaggio a un mese dal lancio
Le tecnologie quantistiche sono cresciute di 5 volte in 10 anni
Studio di Epo, il mercato quantum raggiungerà i 93 miliardi
Dal tartaro antico nuova luce sulla medicina preistorica
Grazie a uno studio italiano finanziato con 1,5 milioni dal Mur
Satellite Starlink alla deriva nello spazio, ha prodotto detriti
Ma non ci sono pericoli per la Stazione Spaziale Internazionale
Ingv, nuovo indicatore monitora intrusioni laterali di magma dell'Etna
Studio individua segnali di arresto propagazione, per la gestione dell'emergenza
Il telescopio Webb scopre una densa atmosfera attorno a un mondo di lava bollente
E' la prima trovata su un pianeta roccioso al di fuori del Sistema solare
Gli orsi degli Appennini resi meno aggressivi dalla convivenza con gli umani
Lo dimostra uno studio genetico condotto dall'Università di Ferrara
Marte, Perseverance cattura i suoni delle tempeste di polvere
Nell'audio il soffio del vento e il crepitio di scariche elettriche simili a mini fulmini
I resti di stelle laboratori per scoprire la quinta forza dell'universo
La scoperta di una ricerca internazionale guidata dall'Italia
Oggi con Blue Origin il lancio della prima astronauta in sedia a rotelle
Michaela Benthaus, paralizzata per un incidente dal 2018, con altre 5 persone
Gli oceani nascosti delle lune ghiacciate verso l'ebollizione
Sarebbe causata da gusci esterni più sottili
Premio Nobel Devoret, Quantum e IA sono diversi ma complementari
'Si aiutano a vicenda, un esempio è AlphaFold di Google'
Nuovo rettile volante scoperto nel vomito di un dinosauro
E' uno pterosauro con il becco 'a pettine'
Nuovo strumento pronto a osservare eventi astronomici sfuggenti
E' lo spettrografo a guida Inaf Soxs, installato all'Eso in Cile
Allentato il freno delle cellule tumorali, impedisce attacco dalle cellule immunitarie
Scoperta può rendere più efficace l'immunoterapia per molte tipologie di tumore
Le eruzioni vulcaniche complici della peste nell'Europa medievale
Studio, la carestia spinse a importare grano infetto
Da staminali la 'spugna' che ripulisce le articolazioni, allevia il dolore
Migliora anche la condizione delle cartilagini